Sinónimos:

Prevalencia: Desconocido

Herencia: Autosómico recesivo

Edad de inicio o aparición: Cualquier edad

 

Resumen

La proteinosis lipoidea (LiP) es una genodermatosis rara caracterizada clínicamente por lesiones mucocutáneas, aparición de ronquera en la infancia temprana y, en ocasiones, complicaciones neurológicas.

Epidemiología

La incidencia y la prevalencia se desconocen. Se han descrito más de 300 casos (edades de 6 a 67 años) en todo el mundo. La mayor parte de los pacientes tiene ascendencia Europea (holandesa o alemana). Se ha descrito un efecto fundador en grandes tribus en Sudáfrica. También se han descrito numerosos casos en Medio Oriente e India. La enfermedad es más frecuente en las uniones consanguíneas.

Descripción clínica

Se observa un amplio rango de signos clínicos y la gravedad de la enfermedad es variable, mientras que normalmente sigue un curso de progresión lento. La primera manifestación clínica habitual es un llanto ronco al nacer o en la infancia debido a la infiltración laríngea. Posteriormente, se desarrollan cambios en la piel y en las membranas mucosas en los dos primeros años de vida. Aparecen lesiones costrosas inicialmente en el rostro y extremidades que se curan formando cicatrices. También se presentan lesiones cutáneas de aspecto céreo, engrosadas y a veces verrugosas que pueden afectar a la cara, los ojos, las axilas, las rodillas y el escroto. La aparición de nódulos en los párpados (blefarosis moniliforme) es un rasgo distintivo pero que ocurre más tarde en la infancia. Puede producirse una pérdida de cabello en parches o difusa. La mucosa oral está a menudo afectada con labios, lengua o encías agrietadas, alteración de la motilidad de la lengua que causa problemas en el habla, e inflamación y ulceración transitoria de los labios y la lengua. La oligodoncia (consulte este término) puede estar presente. La infiltración del tracto respiratorio puede dar lugar a infecciones del tracto respiratorio superior, ronquera o afonía, disfagia, y obstrucción de las vías respiratorias. En los niños afectados se ha descrito distonía, convulsiones, cambios en el comportamiento, dificultades en el aprendizaje y baja estatura. Ocasionalmente, la enfermedad se manifiesta en la edad adulta con hallazgos sutiles en la piel y posibles complicaciones debido a la deposición visceral. Los portadores heterocigotos son generalmente asintomáticos pero pueden mostrar una presentación leve incluyendo una dentición anormal.

Etiología

La LiP se produce por deposición de un material amorfo hialino en la piel, mucosas y vísceras. Se han encontrado mutaciones causantes de pérdida de función en el gen ECM1 (1q21) que codifica para la proteína de la matriz extracelular 1, que juega un papel en la fisiología y homeostasis de la piel y muchos otros tejidos.

Métodos diagnósticos

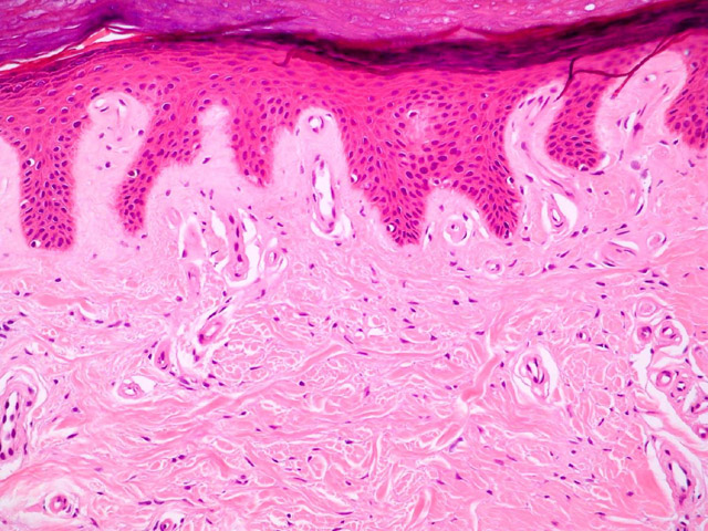
El diagnóstico se basa en los signos clínicos (particularmente la ronquera y las manifestaciones de la piel). El estudio histológico de biopsias de tejidos mucosos o cutáneos afectados muestra el depósito de un material hialino amorfo positivo en tinción con ácido periódico de Schiff en la dermis papilar de que confirma el diagnóstico. Las imágenes de resonancia magnética craneal o tomografía computarizada revelan calcificaciones intracerebrales en forma de habichuela en el lóbulo temporal (en más del 75% de los pacientes). El diagnóstico se confirma mediante las pruebas genéticas.

Diagnóstico diferencial

El principal diagnóstico diferencial es el hidroa vaciniforme y la protoporfiria eritropoyética autosómica, pero también incluye la lepra, la amiloidosis liquenoide (consulte esto términos), y los xantomas.

Diagnóstico prenatal

El diagnóstico prenatal es posible cuando la mutación del gen se ha confirmado en un miembro de la familia afectado por la enfermedad.

Consejo genético

La LiP se hereda de manera autosómica recesiva. Se debe proporcionar asesoramiento genético a las familias afectadas.

Manejo y tratamiento

Actualmente no se conoce un tratamiento curativo efectivo ni un método de tratamiento estándar. Se ha utilizado D-penicilamina, dimetilsulfóxido oral, acitretina, corticosteroides tópicos, y el láser de dióxido de carbono con grados variables de éxito. El tratamiento de la LiP con acitretino ha demostrado cierta eficacia para la ronquera después del uso durante un largo periodo de tiempo, pero ha tenido un éxito variable en el tratamiento de las lesiones cutáneas.

Pronóstico

El pronóstico es generalmente favorable. Aunque las consecuencias fatales son infrecuentes, la enfermedad puede tener un fuerte impacto en la calidad de vida.

Revisores expertos:  Dr Bernice KRAFCHIK – Dr Irene LARA-CORRALES


Fuente: Orphanet (Proteinosis lipoidea), última actualización octubre 2014.